Smile Gallery

Before and After Orthodontic Treatments at our Chelmsford Studio

After
Before
Invisalign braces used to straighten upper and lower teeth including home teeth whitening.
After
Before
Invisalign braces used to straighten upper and lower teeth.
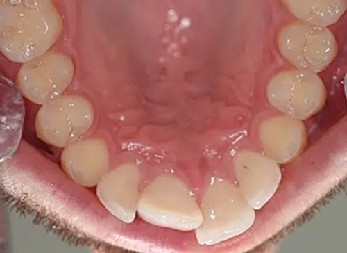
After
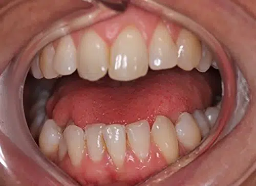
Before

Invisalign Braces used to straighten upper and lower teeth (picture of upper teeth).

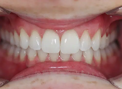
After
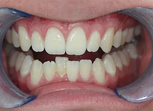
Before
Invisalign braces used to straighten upper and lower teeth.
After
Before
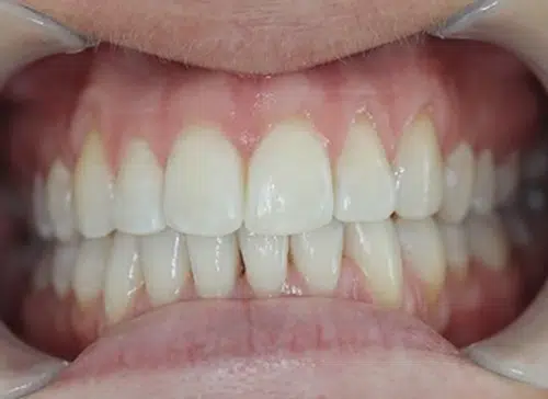
Invisalign braces used to straighten Upper and Lower teeth. Teeth Whitening done after Invisalign treatment.
After
Before
After
Before
After
Before
After
Before
After
Before

Straightening of the upper four front teeth with Inman Aligner treatment.

After photo of Inman Aligner treatment at Aloe Vera Dental in Chelmsford Essex After
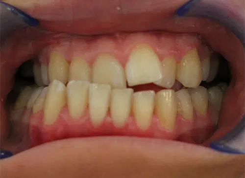
Before photo of Inman Aligner treatment at Aloe Vera Dental in Chelmsford Essex Before
Straightening of the upper four front teeth using Inman Aligner Treatment.
After photo of Inman Aligner treatment at Aloe Vera Dental in Chelmsford Essex After
Before photo of Inman Aligner treatment at Aloe Vera Dental in Chelmsford Essex Before

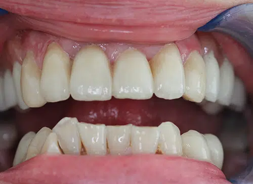
Patient had a Crown placed on the upper front chipped tooth and White Filling was used on the front tooth next to it.

After photo of Inman Aligner treatment at Aloe Vera Dental in Chelmsford Essex After
Before photo of Inman Aligner treatment at Aloe Vera Dental in Chelmsford Essex Before
Straightening of the upper four front teeth using Inman Aligner treatment.
After photo of Six Month Smiles treatment at Aloe Vera Dental in Chelmsford Essex After
Before photo of Six Month Smiles treatment at Aloe Vera Dental in Chelmsford Essex Before
Six Month Smiles Braces used to straighten upper and lower teeth and Home Teeth Whitening done.
After
Before

‘Six Month Smiles’ braces used to straighten Upper and Lower Teeth.

A perfect result of a dentist’s work which is seen in the beautiful and white smile

Spread the cost with 0% finance

Flexible payment options for your dental care

We believe that high-quality dental care should be accessible to everyone, which is why we offer flexible payment options, including 0% finance. This allows you to spread the cost of your treatment into manageable monthly payments, making it easier to budget for your dental care without compromising on quality.

With our finance plans, you can:

Finance is subject to status.